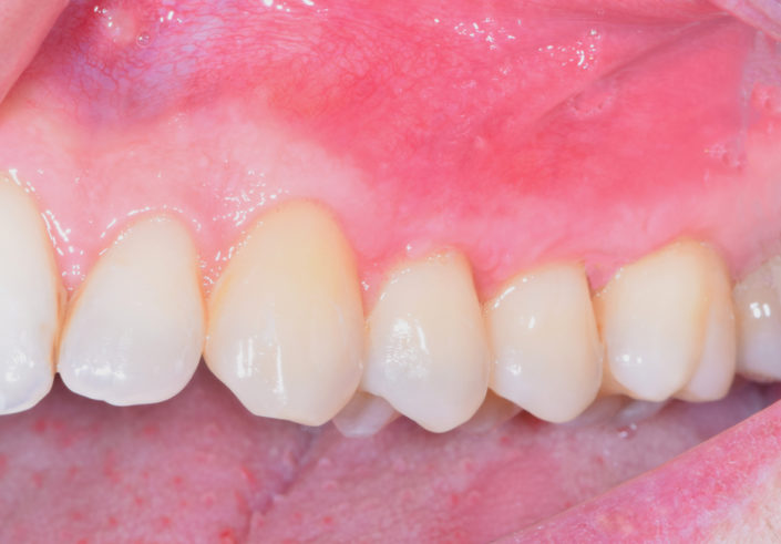
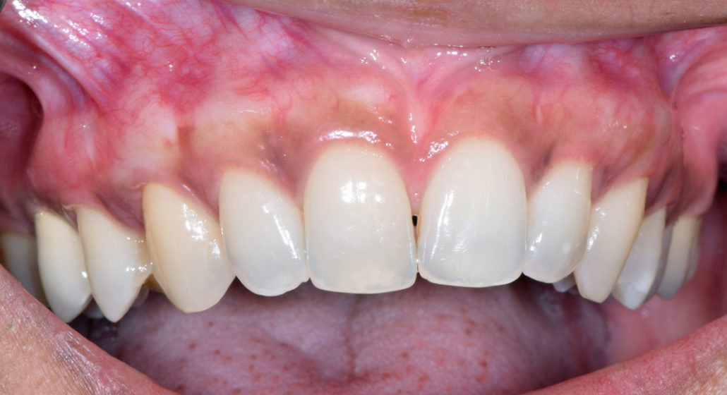
Edentement complet mise en charge immédiate

La patiente a été adressée au cabinet par son dentiste traitant pour une solution de remplacement de son bridge maxillaire en fin de vie. Une solution implantaire lui a été proposée pour la réhabilitation de sa mâchoire soit les extractions des dents, mise en place des implants avec aménagement osseux, le tout lors de la même intervention sous sédation vigile. Un Bridge fixe implantaire provisoire et esthétique a été placé 48 heures après l’intervention. Cette prothèse restera en bouche au moins 6 mois pour valider les implants, l’esthétique et la fonction avant de passer aux empreintes pour la prothèse finale (bridge céramique) qui sera totalement adaptée et personnalisée à la demande de la patiente.